Yang Perlu Anda Ketahui tentang Wabah Virus Nipah di India

Jam : 15:27 | oleh -513 Dilihat
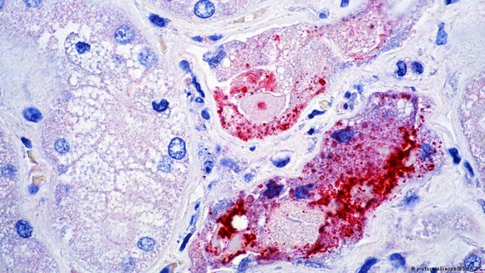
Virus Nipah
Virus Nipah

Jakarta, ToeNTAS.com,- Virus Nipah yang mematikan kembali meruyak di negara bagian Kerala, India. Sedikitnya dua orang meninggal akibat infeksi virus mematikan ini. Seluruhnya lima orang dinyatakan positif terinfeksi Nipah, lebih 700 tercatat sebagai orang yang melakukan kontak dengan pengidap dan 77 orang dinyatakan masuk kategori risiko tinggi

Wabah virus Nipah pada tahun 2018 silam telah merenggut 10 nyawa di negara bagian Kerala, India, termasuk seorang perawat berusia 31 tahun yang merawat pasien terinfeksi. Pemicunya diduga air minum dari sebuah sumur yang tercemar bangkai kelelawar pemakan buah.

Mengapa virus Nipah sangat berbahaya?

Virus Nipah secara agresif menyerang dan memicu inflamasi otak. Infeksnya dapat mengakibatkan peradangan otak, yang disebut ensefalitis. Menurut US Centers for Disease Control and Prevention, masa inkubasinya berkisar antara lima hingga 14 hari, dengan tanda-tanda infeksi pertama muncul setelah tiga hingga 14 hari.

Gejala awal termasuk demam, muntah dan sakit kepala parah. Beberapa pasien mengalami sindrom pernapasan akut. Gejala awal ini diikuti oleh disorientasi, mengantuk dan kebingungan mental. Dalam satu hingga dua hari penyakit dapat menyebabkan koma dan kematian. Virus Nipah memiliki tingkat kematian atau fatalitas hingga 70 persen

Virus Nipah tergolong penyakit yang baru muncul yang dapat ditularkan dari inangnya kelelawar pemakan buah ke hewan lain dan manusia. Nama virus diambil dari Sungai Nipah, desa di Malaysia tempat pertama kali virus diidentifikasi pada tahun 1998. Wabah virus pada babi yang kemudian menginfeksi manusia, menyebabkan sekitar 300 orang terinfeksi dan lebih dari 100 orang tewas dalam waktu satu tahun. Dalam upaya untuk menghentikan wabah itu, jutaan ternak babi dimusnahkan sehingga menyebabkan kerugian luar biasa bagi Malaysia pada saat itu.

Cara penularan virus Nipah

Wabah yang kembali muncul baru-baru ini menunjukkan, virus Nipah ditularkan lewat kontak langsung dengan manusia yang terinfeksi atau hewan ternak, seperti sapi, babi dan sapi. Virus juga disebarkan melalui konsumsi buah-buahan yang terkontaminasi.

Pada tahun 2004, wabah virus Nipah di Bangladesh terjadi gara-gara orang minum nira sadapan pohon kurma. Penelitian menyangkut wabah ini mengungkapkan bahwa buah di pohon tersebut telah terkontaminasi dengan air liur dan air kencing kelelawar.

Wabah di Kerala diperkirakan disebabkan oleh kelelawar mati yang ditemukan dalam sumur di rumah keluarga di desa Changaroth. Infeksi dilaporkan menyebar di antara anggota keluarga dan ditularkan kepada orang lain yang melakukan kontak dengan anggota keluarga yang terinfeksi.

Pilihan perawatan yang sudah ada

Sampai saat ini, tidak ada vaksin yang bisa melawan virus Nipah, baik pada manusia maupun hewan. Satu-satunya tindakan medis adalah perawatan suportif dan intensif. Orang yang terinfeksi dimasukkan ke karantina untuk mencegah penyebaran penyakit. Karena penyakit ini dapat ditularkan dari orang ke orang, kini diberlakukan protokol pengendalian infeksi rutin.

dari berbagai sumber (vlz/as/Putra)